Обследование пожилых людей на пародонтологическом стоматологическом приеме
- Авторы: Киреев В.В.1, Карартинян А.О.1, Севбитов А.В.2, Дорофеев А.Е.2, Кузнецова М.Ю.2
-
Учреждения:
- Стоматологическая поликлиника
- Первый Московский государственный медицинский университет имени И. М. Сеченова (Сеченовский Университет)
- Выпуск: Том 21, № 2 (2024)
- Страницы: 52-57
- Раздел: Статьи
- Статья опубликована: 03.09.2024
- URL: https://cardiosomatics.orscience.ru/2658-4514/article/view/635414
- ID: 635414
Цитировать
Полный текст
Аннотация
Особенности диагностики и лечения пациентов пожилого возраста требуют нового подхода к стандартным схемам лечения заболеваний пародонта. За последние годы на пародонтологическом приеме широкое применение нашел современный программно-диагностический комплекс Florida Probe (Florida Probe Corporation, США). Цель. Определение объема оказания диагностической пародонтологической помощи пожилому населению в ГБУ РО «СП» в г. Ростове-на-Дону в динамике за три года (2021–2023) с помощью программно-диагностического комплекса Florida Probe. Материалы и методы. Для исследования использовались показатели работы трех врачей-стоматологов, оказывающих пародонтологическую помощь населению. Пародонтологический кабинет оснащен современным программно-диагностическим комплексом Florida Probe (Florida Probe Corporation, США), и мы можем проследить динамику использования компьютерного зондирования за три года. Результаты. Врачами пародонтологического приема была произведена компьютерная диагностика заболеваний тканей пародонта с использованием электронных зондирующих устройств, при этом в 2021 году 66 % пациентов составляли люди пожилого возраста, в 2022 году – 84 %, а в 2023 – цифра достигла 89,6 %. Заключение. Использование программно-диагностического комплекса Florida Probe помогает сократить время на обследование пациента и заполнение пародонтальной карты, фиксировать изменения тканей пародонта в ответ на проводимое лечение, мотивировать пациента для дальнейшего сотрудничества с врачом.
Ключевые слова
Полный текст
Успех пародонтологического лечения напрямую зависит от правильно поставленного диагноза, что, в свою очередь, требует тщательной диагностики состояния пародонта.
Большую часть пациентов пародонтологического приема составляют пациенты пожилого возраста (согласно классификации ВОЗ – это лица 60–74 лет).
Рост количества пациентов пожилого возраста связан с тенденцией постарения населения за счет увеличения продолжительности жизни, причем отмечается ухудшение общесоматического статуса в популяции. Общесоматические и стоматологические заболевания, в частности пародонтит, могут отягощать течение друг друга. Поэтому очень важно вовремя диагностировать заболевания пародонта, особенно среди пожилых пациентов [1, 2].
Цель работы
Оценка эффективности диагностики тканей пародонта пожилых людей с помощью программно-диагностического комплекса Florida Probe (Florida Probe Corporation, США).
Методика исследования
Исследование проводилось на базе ГБУ РО «СП» в г. Ростове-на-Дону в структурном подразделении по ул. Сержантова 3а. Для исследования использовались показатели работы трех врачей-стоматологов, оказывающих пародонтологическую помощь населению. Пародонтологический кабинет оснащен современным программно-диагностическим комплексом Florida Probe (Florida Probe Corporation, США), и мы можем проследить динамику использования компьютерного зондирования за три года (см. табл.).
Динамика проведения компьютерной диагностики заболеваний пародонта за три года
Период (годы) | Компьютерная диагностика заболеваний пародонта с использованием электронных зондирующих устройств | Компьютерная диагностика заболеваний пародонта с использованием электронных зондирующих устройств среди пациентов пожилого возраста |
2021 | 189 | 125 |
2022 | 269 | 227 |
2023 | 375 | 336 |
Результаты исследования и их обсуждение
Прирост использования компьютерной диагностики заболеваний пародонта связан с удобством применения как для врача, так и пациента. Врачи отмечали удобство фиксирования всех необходимых показателей состояния пародонта, сохранение предыдущих осмотров показывает динамику течения заболевания, что позволяет оценить успех лечения.
Пациенты отмечали безболезненность проведения диагностики, наглядность имеющихся проблем десен. С использованием такой программы пациенту легко донести его состояние пародонта, что повышает мотивацию к дальнейшему лечению.
Основным диагностическим критерием в обследовании пародонтологического пациента является глубина пародонтального кармана. С этой целью применяется пародонтологический зонд, которым измеряют глубину зондирования в шести точках в области каждого зуба и данные заносят в пародонтальную карту пациента [3, 4].
Глубина пародонтального кармана – это расстояние от края десны до дна зубодесневой борозды. Этот критерий не всегда в полной мере характеризует состояние пародонта, так как в пожилом возрасте часто встречаются дегенеративные изменения пародонта, такие как рецессия десны. Поэтому было предложено измерять уменьшение уровня клинического прикрепления, которое оценивается по расстоянию от цементно-эмалевого соединения до дна зубодесневой борозды или пародонтального кармана [5, 6].
Важным критерием воспалительных процессов в пародонте является кровоточивость при зондировании пародонтального кармана. Но у пациентов пожилого возраста этот критерий не всегда является достоверным. Отсутствие обильной кровоточивости при наличии воспалительных заболеваний пародонта может быть связано со склеротическими изменениями сосудов. Также обильная кровоточивость при зондировании может присутствовать у пациентов, которые принимают антикоагулянты, салицилаты. При проведении зондирования необходимо отмечать гноетечение, что свидетельствует об обострении хронического процесса и требует принятия неотложных мер по ликвидации воспалительного процесса.
Во время зондирования можно оценить уровень индивидуальной гигиены пациента по наличию зубного налета.
После зондирования пародонтальных карманов необходимо оценить подвижность зубов. Различают три степени подвижности:
I – подвижность в вестибулярно-язычном направлении до 1 мм;
II – подвижность в вестибулярно-язычном направлении от 1 до 2 мм;
III – подвижность в вестибулярно-язычном направлении более 2 мм, а также вертикальная подвижность.
Помимо подвижности зубов необходимо отметить вовлечение бифуркации корней в патологический процесс. Выделяют три класса поражения бифуркации корней:
I – горизонтальная утрата пародонтальной поддержки по 1,5 мм;
II – дефект бифуркации более 1,5 мм, но не сквозной;
III – сквозной дефект бифуркации [7, 8].
Учитывая, что достаточно большое количество показателей необходимо отметить в пародонтальной карте пациента, был создан программно-диагностический комплекс Florida Probe (Florida Probe Corporation, США). Он состоит из программного обеспечения, электронного зонда и ножного переключателя, с помощью которого фиксируется глубина зондирования, кровоточивость и гноетечение. Компьютер воспроизводит голосовое сообщение о наличии кровоточивости десен, глубине кармана, гноетечении и подвижности зубов. После проведения зондирования программа составляет пародонтограмму, в которой будут указаны все необходимые данные о состоянии пародонта. Отметив зубы с имеющимся зубным налетом, программа посчитает гигиенический индекс. Плюсом использования данной программы является то, что в ней сохраняются предыдущие исследования, что необходимо для оценки успеха лечения и динамики заболевания. Наглядная демонстрация результатов обследования повышает мотивацию для пациента. Также в программе имеются информационные видеоролики для пациента [9, 10].
После проведения осмотра пациента приступаем к рентгенологическому исследованию, которое является дополнительным методом в диагностике заболеваний пародонта, но необходимо для постановки окончательного диагноза. Для этой цели используют полную серию прицельных рентгенограмм или КЛКТ.
Клинический случай
За пародонтологическим лечением обратилась женщина 61 года с жалобами на неприятный запах из полости рта, кровоточивость десен при чистке зубов, подвижность зубов, несостоятельность ортопедических конструкций.
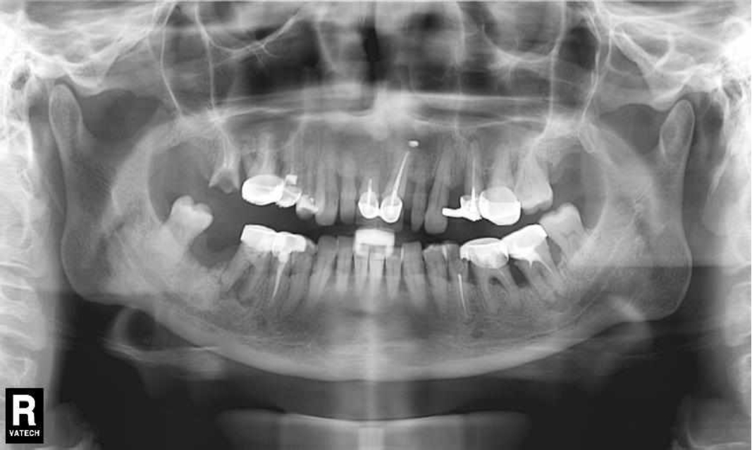
Ранее у пародонтолога не наблюдалась. При осмотре выявлены: неудовлетворительная индивидуальная гигиена полости рта, пародонтальные карманы до 7 мм, обильная кровоточивость и гноетечение из пародонтальных карманов, подвижность зубов 4.2, 4.1, 3.1, 3.2 II степени, обильные над- и поддесневые зубные отложения (рис. 1). На ортопантомограме отмечается резорбция костной ткани до ½ длины корня, очаги остеопороза (рис. 2). Пациенту был поставлен диагноз хронический генерализованный пародонтит тяжелой степени тяжести. При осмотре была составлена пародонтограмма с использованием компьютерного зондирования (рис. 3).
Рис. 1. Внешний вид
Рис. 2. Ортопантомограмма исходной ситуации пациента состояния полости рта
Рис. 3. Пародонтограмма с использованием компьютерного зондирования при первичном обращении
Для стабилизации пародонтологического статуса было проведено комплексное лечение, которое включало в себя: системную антибиотикотерапию, пациент был обучен гигиене полости рта, были подобраны средства индивидуальной гигиены, была проведена профессиональная гигиена полости рта с использованием ультразвукового скейлера, аппарата Air-flow, проведена поддесневая инструментальная обработка.
В качестве поддерживающего пародонтологического лечения проводилась обработка поверхности корней с применением аппарата «Вектор», диодного лазера. Для домашнего использования были подобраны ополаскиватели с содержанием хлоргексидина, рекомендованы аппликации противовоспалительных стоматологических гелей. После снятия воспалительных явлений пародонта провели шинирование 4.3, 4.2, 4.1, 3.1, 3.2, 3.3 зубов с применением стекловолоконной ленты. Контроль лечения проводился через 1, 3 и 6 месяцев.
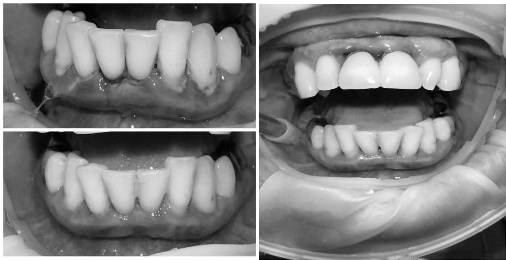
Через 6 месяцев при осмотре выявлен удовлетворительный уровень индивидуальной гигиены, отсутствие участков кровоточивости и гноетечения (рис. 4), пародонтальные карманы уменьшились в размерах (рис. 5). Пациент отмечает значительные улучшения. После стабилизации пародонтологического статуса пациент направлен для дальнейшего ортопедического лечения.
Рис. 4. Динамика результата через 6 месяцев
Рис. 5. Пародонтограмма с использованием компьютерного зондирования через 6 месяцев
Заключение
Обследование пожилых пациентов на пародонтологическом приеме должно быть комплексным, междисциплинарным, учитывать соматические заболевания и прием лекарственных препаратов. Отмечается ежегодный прирост числа исследований компьютерной диагностики заболеваний пародонта с использованием электронных зондирующих устройств с 189 иссле-дований в 2021 г. до 375 в 2023 г. практически в 2 раза (1,98), при этом из них 89,6 % составляли пациенты пожилого возраста.
Программно-диагностический комплекс Florida Probe помогает сократить время на обследование пациента и заполнение пародонтальной карты, фиксировать изменения пародонта в ответ на проводимое лечение, мотивировать пациента для дальнейшего сотрудничества с врачом.
Об авторах
Владимир Владимирович Киреев
Стоматологическая поликлиника
Автор, ответственный за переписку.
Email: dr.kireev-v.v@yandex.ru
ORCID iD: 0000-0002-7856-5541
заведующий отделением терапевтической стоматологии № 3
Россия, Ростов-на-ДонуАнна Олеговна Карартинян
Стоматологическая поликлиника
Email: anna.reznichenko@rambler.ru
врач – стоматолог-терапевт
Россия, Ростов-на-ДонуАндрей Владимирович Севбитов
Первый Московский государственный медицинский университет имени И. М. Сеченова (Сеченовский Университет)
Email: sevbitov_a_v@staff.sechenov.ru
ORCID iD: 0000-0002-8247-3586
доктор медицинских наук, профессор, заведующий кафедрой
Россия, МоскваАлексей Евгеньевич Дорофеев
Первый Московский государственный медицинский университет имени И. М. Сеченова (Сеченовский Университет)
Email: dorofeev_a_e@staff.sechenov.ru
ORCID iD: 0000-0002-0815-4472
кандидат медицинских наук, доцент
Россия, МоскваМарина Юрьевна Кузнецова
Первый Московский государственный медицинский университет имени И. М. Сеченова (Сеченовский Университет)
Email: kuznetsova_m_yu@staff.sechenov.ru
ORCID iD: 0000-0002-5488-8979
кандидат медицинских наук, доцент
Россия, МоскваСписок литературы
- Гринин В. М., Вагнер В. Д., Кабак Д. С. и др. Состояние тканей пародонта у пациентов, находящихся на лечении в многопрофильном стационаре. Клиническая стоматология. 2019;(3):32–33.
- Гущин В. В., Воробьев М. В. К вопросу возрастания роли геронтостоматологии на современном этапе. Институт стоматологии. 2021;2:94–95.
- Жданова С. С., Костригина Е. Д., Богонина О. В. и др. Совершенствование диагностики заболеваний тканей пародонта с использованием современных методов обследования. Dental Forum. 2023; 3(90):54–58.
- Киреев В. В., Дорофеев А. Е., Севбитов А. В. и др. Пародонтологическая помощь на амбулаторном стоматологическом приеме у пациентов пожилого возраста. Медико-фармацевтический журнал «Пульс». 2023;25(9):10–18.
- Микляев С. В., Леонова О. М., Сущенко А. В. и др. Влияние различных способов удаления зубных отложений на структуру тканей зуба. Вестник Волгоградского государственного медицинского университета. 2021;3(79):45–51.
- Македонова Ю. А., Гаврикова Л. М., Дьяченко С. В. и др. Клинические методы мониторинга воспалительно-деструктивных поражений слизистой оболочки полости рта. Волгоградский научно-медицинский журнал. 2022;19(2):12–17.
- Киреев В. В., Карартинян А. О., Севбитов А. В. и др. Применение ультразвукового аппарата в паро-донтологической практике у лиц пожилого и старческого возраста. Медицинский алфавит. 2023;30:76–78.
- Макарова Е. С., Рыжова С. А., Фролова К. Е. и др. Современный метод диагностики пародонта с использованием Florida Probe и современное лечение рецессии десны. Образование и наука в России и за рубежом. 2019;2(50):244–254.
- Фирсова И. В., Гасанов М. М., Алеханова И. Ф. и др. Основные факторы риска развития пародонтальных осложнений на этапе несъемного ортопедического лечения пациентов с хроническим пародонтитом. Вестник Волгоградского государственного медицинского университета. 2022;19(1):17–23.
- Шкарин В. В., Поройский С. В., Македонова Ю. А. и др. Диспансерное наблюдение пациентов с эрозивно-язвенными поражениями полости рта. Волгоградский научно-медицинский журнал. 2023;20(2):5–10.
Дополнительные файлы








