Anthracycline-induced cardiomyopathy in the long-term period after chemotherapy: clinical case
- Authors: Kozjavin N.A.1, Mureyko E.A.1, Nikiforov V.S.2, Beljaev A.M.1
-
Affiliations:
- Petrov National Medicine Research Center of Oncology
- Mechnikov North-Western State Medical University
- Issue: Vol 13, No 3 (2022)
- Pages: 176-180
- Section: Case reports
- Submitted: 24.01.2023
- Accepted: 20.02.2023
- Published: 08.04.2023
- URL: https://cardiosomatics.ru/2221-7185/article/view/133645
- DOI: https://doi.org/10.17816/CS133645
- ID: 133645
Cite item
Full Text
Abstract
Background. As is known, the treatment of the oncological process leads either to the occurrence of cardiovascular pathology, or to an increase in the risk of death from cardiovascular diseases. Currently, the concept of ˝cardiovascular toxicity˝ has been introduced, which is associated with the treatment of cancer (CTR-CVT). Systemic drug anthracycline-containing anticancer therapy can cause a number of cardiovascular complications, such as myocardial systolic dysfunction, coronary heart disease, cardiac arrhythmias, arterial hypertension. Particular attention is paid to anthracycline drugs, because they are still included in combinations of many adjuvant therapy regimens and first-line treatment of both the most common cancers and rarer ones.
Clinical Case Description. The article presents a clinical case of a patient who received adjuvant polychemotherapy for breast cancer in 2017 with AC ×4 →D ×4 regimen, in which chronic anthracycline-induced cardiomyopathy manifested years after completion of antitumor therapy. The development of anthracycline cardiomyopathy is possible even in patients with initially low cardiac risk.
Conclusion. The clinical case highlights the importance of monitoring patients after the end of anthracycline antitumor therapy, in particular, they are shown to periodically perform an echocardiographic study in order to detect delayed asymptomatic myocardial dysfunction.
Full Text
СПИСОК СОКРАЩЕНИЙ
АС – режим полихимиотерапии доксорубицином и циклофосфамидом
ССЗ – сердечно-сосудистые заболевания
ССС – сердечно-сосудистая система
ХСН – хроническая сердечная недостаточность
A4C – верхушечное 4-х камерное сечение
CTR-CVT – Cancer Therapy-Related Cardiovascular Toxicity (сердечно- сосудистая токсичность обусловленная противоопухолевым лечением)
CV – cardiovascular
EDV – конечно-диастолический объём
EF – фракция выброса
ESV – конечно-систолический объём
NT-proBNP – предсердный натрийуретический пептид
NYHA – New York Heart Association (Нью-Йоркская кардиологическая ассоциация)
SV – ударный объём
TAPSE – Tricuspid Annular Plane Systolic Excursion (амплитуда систолического движения кольца трикуспидального клапана)
ОБОСНОВАНИЕ
Недавно вышедшие первые Евразийские клинические рекомендации по диагностике, профилактике и лечению сердечно- сосудистых осложнений при проведении противоопухолевой терапии отражают основные стандарты по скринингу, диагностике, лечению кардиоваскулярной токсичности. Скрининг и выявление факторов риска сердечно-сосудистых заболеваний (ССЗ) у онкологических больных позволяют вовремя провести их коррекцию в соответствии с действующими рекомендациями, что в большинстве случаев улучшает контроль течения ССЗ и снижает риск возникновения кардиотоксичности во время противоопухолевой терапии.
Кардиотоксичность – собирательный термин, включающий в себя различные осложнения со стороны сердечно-сосудистой системы (ССС), возникающие либо сразу на фоне противоопухолевого лечения, либо спустя некоторое время. Дисфункция миокарда как один из основных побочных эффектов группы антрациклинов описана давно. Как известно, антрациклин- индуцированная кардиомиопатия является дозозависимой и кумулятивной: она может возникать остро (как острый коронарный синдром или аритмия) либо протекать бессимптомно, приводя к развитию хронической сердечной недостаточности (ХСН) [1, 2].
Ниже представлен клинический случай развития антрациклин-индуцированной кардиомиопатии, который развился у пациентки спустя 2 года после приёма антрациклинов. Пациентка ранее не имела коморбидной патологии со стороны ССС и относится к группе низкого риска развития кардиоваскулярных осложнений.
КЛИНИЧЕСКИЙ СЛУЧАЙ
О ПАЦИЕНТЕ
Пациентка Д.Н., 55 лет, имеющая диагноз: «Рак правой молочной железы T2N0M0. Состояние после радикальной мастэктомии справа от 02.2017». С 03.2017 по 07.2017 получала адъювантную полихимиотерапию в режиме AC (доксорубицин, циклофосфамид) – 4 цикла, далее – 4 цикла доцетаксела каждый 21 день. После проведённой системной химиотерапии получала гормонотерапию анастрозолом с 08.2017 по 12.2019.
Лечилась в одном из регионов Российской Федерации, инструментальных и лабораторных данных об исходном состоянии ССС на момент осмотра представлено не было, однако, со слов пациентки, патологии ССС до начала лечения она не имела.
Больная обратилась в НМИЦ г. Санкт-Петербурга в декабре 2019 года с жалобами на одышку при минимальной физической нагрузке, отёки стоп и голеней, учащённое сердцебиение, сухой кашель.
ФИЗИКАЛЬНАЯ И ИНСТРУМЕНТАЛЬНАЯ ДИАГНОСТИКА
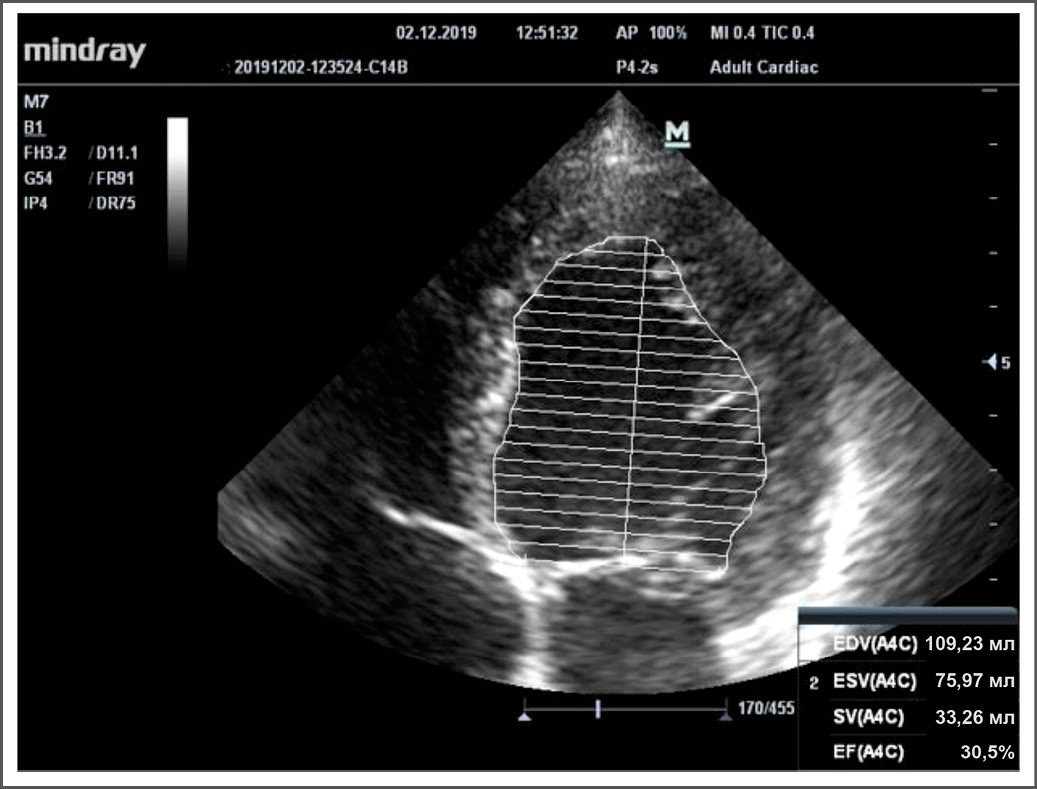
На момент прохождения химиотерапии, со слов пациентки, её рост составлял 160 см, масса тела – 68 кг, площадь поверхности тела – 1,56 м2. Ориентируясь на эти данные, мы ретроспективно рассчитали суммарную полученную дозу доксорубицина. Суммарная доза доксорубицина – 417,2 мг, что не превышает предельно допустимого суммарного уровня препарата. При обследовании пациентке была выполнена эхокардиография. Установлено выраженное снижение глобальной сократимости левого желудочка (фракция выброса по Симпсону – 30%) (рис. 1), выраженная эксцентрическая гипертрофия миокарда левого желудочка, дилатация всех камер сердца с формированием тяжёлой вторичной митральной (рис. 2) и трикуспидальной недостаточности, снижение сократимости свободной стенки правого желудочка (амплитуда систолического движения кольца трикуспидального клапана, TAPSE – 1,5 см), дилатация лёгочной артерии и нижней полой вены и признаки тяжёлой легочной гипертензии.
Рис. 1. Эхокардиографическое исследование пациентки Д.Н. Верхушечное ٤-х камерное сечение (значительное снижение фракции выброса по Симпсону).
Примечание (здесь и на рис. 3). EDV – конечно-диастолический объём, ESV – конечно-систолический объём, SV – ударный объём, EF – фракция выброса, A4C – верхушечное 4-х камерное сечение.
Fig. 1. Echocardiography of patient D.N. Apical ٤-chamber section (significant reduction in Simpson's ejection fraction).
Note (here and in Fig. 3). EDV – end-diastolic volume, ESV – end-systolic volume, SV – stroke volume SV, EF – ejection fraction, A4C – Apical 4 chamber section.
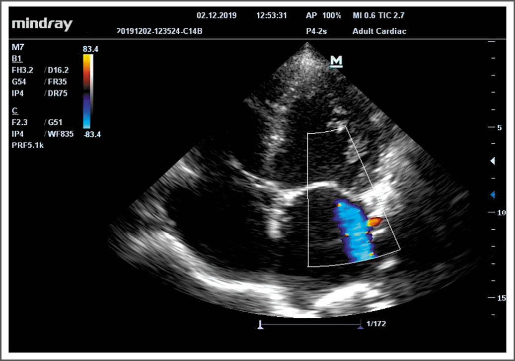
Рис. 2. Эхокардиографическое исследование пациентки Д.Н. Верхушечное 4-х камерное сечение (тяжёлая митральная недостаточность).
Примечание. При доплеровском исследовании митрального клапана определяется струя тяжёлой митральной регургитации.
Fig. 2. Echocardiography of patient D.N. Apical 4-chamber section (severe mitral regurgitation).
Note. Doppler examination of the mitral valve determines the jet of severe mitral regurgitation.
Также был выполнен анализ крови на высокочувствительный тропонин I, результат которого соответствовал референcным значениям. Исследование крови на предсердный натрийуретический пептид (NT-proBNP) показало результат 825 пг/мл (норма до 125).
ДИАГНОЗ
На основании данных анамнеза, клинического обследования, лабораторных и инструментальных показателей пациентке поставлен диагноз: «Хроническая антрациклиновая кардиомиопатия. ХСН IIB-стадии со сниженной фракцией выброса левого желудочка (30%), III функционального класса по NYHA».
ЛЕЧЕНИЕ
Назначена следующая медикаментозная терапия [3]:
- бисопролол – 5 мг (по 1 таблетке утром);
- валсартан – 40 мг (по 1 таблетке 2 раза в день, утром и вечером);
- спиронолактон – 25 мг (по 1 таблетке в обед);
- торасемид – 5 мг (по 1 таблетке утром).
На фоне лечения у пациентки отмечена выраженная положительная динамика в виде регресса отёков, кашля, уменьшения выраженности одышки, увеличения толерантности к физической нагрузке.
ДАЛЬНЕЙШЕЕ НАБЛЮДЕНИЕ
При контрольном обследовании через 3 мес, в марте 2020 года выполнено повторное эхокардиографическое исследование. Зафиксирована положительная динамика по сравнению с исследованием от декабря 2019 года в виде нормализации размеров всех камер сердца, нормализации глобальной систолической функции левого желудочка (фракция выброса по Симпсону – 58%; рис. 3), сократимости правого желудочка, купирования вторичной недостаточности митрального и трикуспидального клапана и уменьшения степени лёгочной гипертензии.
Рис. 3. Эхокардиографическое исследование пациентки Д.Н. через 3 мес после начала лечения. Верхушечное 4-х камерное сечение (нормализация фракции выброса по Симпсону).
Fig. 3. Echocardiography of patient D.N. 3 months after the start of treatment. Apical 4-chamber section (normalization of ejection fraction according to Simpson).
ПРОГНОЗ
Учитывая, что после проведённой терапии удалось купировать явления сердечной недостаточности, отмечалось улучшение общего самочувствия, регресс симптоматики, прогноз для жизни промежуточный. Согласно шкале «Seattle Heart Failure Model», средняя продолжительность жизни пациента после лечения составляет 16,6 лет, смертность от сердечной недостаточности в первый год достигает 1,8%, после 5 лет жизни – 10%.
ОБСУЖДЕНИЕ
Хотя в современных условиях, в эру развития онкологии, когда имеется огромное число новых зарегистрированных таргентных препаратов, ингибиторов иммунных точек с тенденцией к прецизионной терапии, режимы, включающие в себя антрациклины, активно используют и по сей день. Более того, как в адъювантной терапии, так и при распространённых и метастатических процессах они являются высокоэффективными комбинациями первой линии лекарственной противоопухолевой терапии в лечении рака молочной железы, сарком мягких тканей, в терапии гемобластозов, а также широко используются в детской онкологии. Исходя из всего вышеперечисленного, становится понятно, что проблема кардиотоксичности антрациклинов остаётся весьма актуальной: разработаны клинические рекомендации, ведутся исследования по разработке и внедрению в клиническую практику новых препаратов, которые могут использоваться в качестве сопроводительной терапии.
Несмотря на то, что в настоящее время имеются рекомендации по ведению пациентов, получающих системную противоопухолевую терапию с антрациклинами [4], и в клиническую практику внедрена стратификация риска развития кардиоваскулярных осложнений, которая позволяет использовать персонализированные профилактические стратегии, возникают случаи дисфункции миокарда, в том числе и у пациентов с низким кардиологическим риском. Зачастую антрациклиновая кардиомиопатия развивается латентно, не давая выраженной симптоматики, проявляя себя спустя годы в виде ХСН [5].
Считается, что чем позже у пациента развилась кардиомиопатия, тем хуже окажется прогноз [6]. У ряда пациентов летальный исход наступал именно от антрациклиновой кардиомиопатии, а не от онкопатологии, по поводу которой они получали противоопухолевое лечение [7].
Кардиотоксическое воздействие развивается посредством нескольких механизмов: прямое влияние на кардиомиоциты через запуск апоптоза, снижение интенсивности миграции клеток-предшественниц кардиомиоцитов, дисфункция эндотелия коронарных сосудов, снижение плотности капилляров, что ухудшает микроциркуляцию миокарда, и, с другой стороны, дисфункция фибробластов, которая препятствует репарации повреждённой ткани [6–8].
Описана зависимость между суммарной полученной дозой доксорубицина и вероятностью развития кардиомиопатии. Так, если суммарная доза доксорубицина превышает 400 мг/м2, то вероятность развития кардиомиопатии составляет 4–5%, если она >700 мг/м2, то 18–48% [8]. При применении эпирубицина частота развития дисфункции миокарда ниже, и при дозе >900 мг/м2 она равна 0,9–11,4% [9]. Согласно современным клиническим рекомендациям, при суммарной дозе доксорубицина >250 мг/м2 повышается риск возникновения кардиомиопатии [10].
При ретроспективной оценке риска перед проведением терапии антрациклинами в представленном клиническом случае у пациентки имел место базово низкий риск развития кардиотоксичности. Тем не менее через 2 года после окончания противоопухолевой терапии у неё развилась ХСН.
ЗАКЛЮЧЕНИЕ
Проблема актуальна в онкологическом «мире», где эффективность лечения зависит от конкретных сроков проведения лекарственной противоопухолевой терапии и во многих случаях является дозозависимой. В таких случаях коморбидность в виде ССЗ оказывается камнем преткновения на пути успешного лечения злокачественных новообразований. Именно поэтому одной из главных задач как для онколога, так и для кардиолога становятся выявление и стратификация рисков возникновения, профилактика и своевременное лечение кардиоваскулярной патологии.
Описанный нами клинический случай демонстрирует развитие антрациклин-индуцированной кардиомиопатии спустя годы после завершения противоопухолевой терапии, развитие которой часто сопряжено с неблагоприятным прогнозом для пациента. В представленном случае нам удалось купировать явления сердечной недостаточности и улучшить качество жизни пациента.
Особое внимание при ведении пациентов, получающих антрациклины, необходимо уделять базовой стратификации риска развития кардиотоксичности. Хотя, как демонстрирует клинический случай, развитие антрациклиновой кардиомиопатии возможно даже у лиц, имеющих исходно низкий риск, это безусловно требует дальнейшего изучения и оптимизации подходов к стратификации риска и первичной профилактике. Важным в наблюдении за пациентами после окончания противоопухолевой терапии антрациклинами является периодическое выполнение эхокардиографического исследования для выявления отсроченной бессимптомной дисфункции миокарда.
Информированное согласие. От пациента было получено письменное добровольное информированное согласие на публикацию описания клинического случая, результатов его обследования и лечения (дата подписания 24.01.2022 г.).
Informed consent. A voluntary informed consent was obtained from the patient for the publication of the clinical case description, examination and treatment results (dated 2022 Jan 24).
Раскрытие интересов. Авторы декларируют отсутствие явных и потенциальных конфликтов интересов, связанных с публикацией данной статьи.
Disclosure of interest. The authors declare no conflict of interest.
Вклад авторов. Н.А. Козявин, Е.А. Мурейко – обзор литературы; Н.А. Козявин, Е.А. Мурейко, В.С. Никифоров – написание статьи текста статьи; В.С. Никифоров, А.М. Беляев – исправление текста рукописи; утверждение окончательного варианта статьи – все авторы.
Author’s contribution. N.A. Kozjavin, E.A. Mureyko – literature review; N.A. Kozjavin, E.A. Mureyko, V.S. Nikiforov – drafting the article; V.S. Nikiforov, A.M. Beljaev – сritical revision of the article; final approval of the version to be published – all the authors.
Источник финансирования. Авторы декларируют отсутствие внешнего финансирования для проведения исследования и публикации статьи.
Funding source. The authors declare that there is no external funding for the exploration and analysis of work.
About the authors
Nikita A. Kozjavin
Petrov National Medicine Research Center of Oncology
Email: kozjavin-nikita@mail.ru
ORCID iD: 0000-0003-2759-4817
department head
Russian Federation, 191015, St. Petersburg, Kirochnaya Str., 41Ekaterina A. Mureyko
Petrov National Medicine Research Center of Oncology
Email: emureyko@mail.ru
ORCID iD: 0000-0003-1626-082X
SPIN-code: 2023-1598
resident oncologist
Russian Federation, 191015, St. Petersburg, Kirochnaya Str., 41Viktor S. Nikiforov
Mechnikov North-Western State Medical University
Email: victor-nikiforov@yandex.ru
ORCID iD: 0000-0001-7862-0937
SPIN-code: 4652-0981
MD, D. Sci. (Med.), Prof., dean
Russian Federation, 41, Kirochnaya Str., St. Petersburg, 191015Alexey M. Beljaev
Petrov National Medicine Research Center of Oncology
Author for correspondence.
Email: bam281060@yandex.ru
ORCID iD: 0000-0001-6588-1257
SPIN-code: 9445-9473
MD, D. Sci. (Med.), Prof., director,
Russian Federation, 191015, St. Petersburg, Kirochnaya Str., 41References
- Pudil R, Mueller C, Celutkiene J, et al. Role of serum biomarkers in cancer patients receiving cardiotoxic cancer therapies: a position statement from the Cardio-Oncology Study Group of the Heart Failure Association and the Cardio-Oncology Council of the European Society of Cardiology. Eur J Heart Fail. 2020;22(11):1966–1983. doi: 10.1002/ejhf.2017
- Сelutkienе J. Pudil R, López-Fernández T, et al. Role of cardiovascular imaging in cancer patients receiving cardiotoxic therapies: a position statement on behalf of the Heart Failure Association (HFA), the European Association of Cardiovascular Imaging (EACVI) and the Cardio-Oncology Council of the European Society of Cardiology (ESC). Eur J Heart Fail. 2020;22(9):1504–1524. doi: 10.1002/ejhf.1957
- Vitsenya MV, Ageev FT, Gilyarov MYu, et al. Practical recommendations for the correction of cardiovascular toxicity of anticancer drug therapy. Malignant tumors. 2019;9(3S2):609–627. (In Russ). doi: 10.18027 / 2224-5057-2019-9-3s2-609-627
- McDonagh TA, Metra M, Adamo M, et al. 2021 ESC Guidelines for the diagnosis and treatment of acute and chronic heart failure. Eur Heart J. 2021;42(36):3599–3726. doi: 10.1093/eurheartj/ehab368
- Cardinale D, Biasillo G, Salvatici M, et al. Using biomarkers to predict and to prevent cardiotoxicity of cancer therapy. Expert Rev Mol Diagn. 2017;17(3):245–256. doi: 10.1080/14737159.2017.1283219
- Chen MH, Colan SD, Diller L. Cardiovascular disease: cause of morbidity and mortality in adult survivors of childhood cancers. Circ Res. 2011;108(5):619–628. doi: 10.1161/CIRCRESAHA.110.224519
- Mann D, Felker G. Heart Failure: A Companion to Braunwald’s Heart Disease. 4th ed. Philadelphia: Elsevier; 2016.
- Cardinale D, Colombo A, Bacchiani G, et al. Early detection of anthracycline cardiotoxicity and improvement with heart failure therapy. Circulation. 2015;131(22):1981–1988. doi: 10.1161/CIRCULATIONAHA.114.013777
- Ryberg M, Nielsen D, Cortese G, et al. New insight into epirubicin cardiac toxicity: competing risks analysis of 1097 breast cancer patients. J Natl Cancer Inst. 2008;100(15):1058–1067. doi: 10.1093/jnci/djn206
- Chazova IE, Ageev FT, Aksenova AV, et al. Eurasian clinical guidelines for cardiovascular complications of cancer treatments: diagnosis, prevention and treatment (2022). Eurasian heart journal. 2022;(1):6–79. (In Russ). doi: 10.38109/2225-1685-2022-1-6-79
Supplementary files






